肺大泡是什么病严重吗(什么是肺大疱?被查出肺大疱应该怎么办?医生告诉您答
肺大泡是什么病严重吗(什么是肺大疱?被查出肺大疱应该怎么办?医生告诉您答案)
“医生,什么是肺大疱?它好好的怎么会突然破裂呢?”

前两天遇到一个40多岁的大姐,她在一个月前出去游玩的时候突然摔倒了,虽然感觉左侧肋骨有点难,而且还有点胸闷,但是由于症状不是太明显,所以也就没有放在心上。
但是最近两天,突然感觉出现明显的呼吸困难、气喘、胸闷和胸痛,大姐意识到自己病情可能严重了,所以立刻就去了医院。做了相关检查后,医生告诉她说是肺大疱破裂引起的气胸,大姐听了一脸疑惑,所以就发出了开头的疑问。
为了让大家对肺大疱有更多的认识和了解,我来分享一下相关的知识。
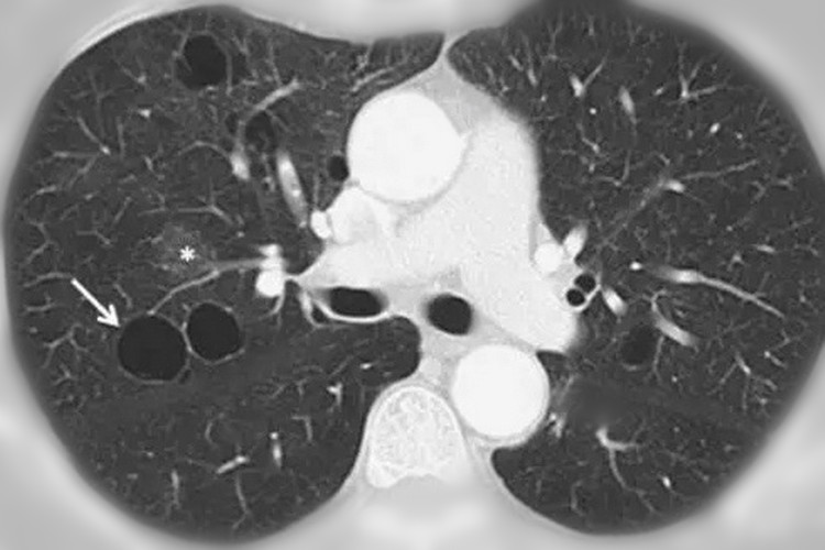
1.什么是肺大疱?我们为何会有肺大疱?

蜂窝
我们的肺是由很多的肺泡构成的,
这些肺泡和蜂窝上的蜂室有点类似,都是基本的组成单位。
这些肺泡是很小的,即便做胸部CT也是看不到的,但是如果在某种原因的作用下,肺泡腔的压力增高,那肺泡内壁就会破裂。
破裂的肺泡会相互融合,这样的话就会形成比原来肺泡更大的囊腔,也就是我们说的肺大疱。
不过需要注意,肺大疱的直径一般来说是大于1cm的,而且里面还含有一些气体。

说白了,肺大疱就是一种含有气体的空腔,较小的单个肺大疱一般来说都没有明显的症状。
体积较大或者多个肺大疱就有可能会出现胸闷、气短等的症状。
肺大疱和正常的肺泡相比,它们已经没有原来的功能了。如果肺大疱的数量多或者体积大,那肺功能肯定就会受到很明显的影响,所以这类患者就会有一些不舒服的症状。

哮喘
可能会有朋友疑惑了,我们好好的怎么会有肺大疱呢?上面我已经说了,只要是能引起肺泡腔内压力增加的因素,都可以引起肺大疱。
引起肺泡腔压力增加的原因就比较多了,不过最主要的就是肺部疾病,比如肺炎、肺气肿、哮喘、支气管炎、慢性阻塞性肺疾病等。
慢性阻塞性肺疾病这种疾病会引起气管的阻塞,从而形成活瓣作用,换句话说,空气容易进去,但是却不容易出来,这样的话肺泡的气体就会增多,肺泡内的压力就会增加。这就好比吹气球,一直往里面吹气,那气球内的气体就会增加,气球就容易破裂。

年轻人也比较容易出现肺大疱,特别是20岁左右、瘦高体型的。
这个主要是因为这个年龄段的人在生长发育的过程中,因为个子长得比较快,胸廓的拉伸速度也快。这个时候会造成胸部的负压增大,那肺部就会承受比较大的牵拉作用,肺泡腔内的压力就会增大,肺泡就容易破裂,从而形成肺大疱。
也有人肺大疱压根就找不到原因的,临床上称之为特发性肺大疱,具体的原因还不明确,不过考虑可能和先天性的基因异常有关。
不过肺大疱也有先天性的,这种多见于小儿,主要原因就是软骨发育不良。
2.如果被查出肺大疱应该怎么办?
现实中很多人被查出肺大疱以后,心里都比较忐忑,不知道应该怎么办。

手术
我们必须要明白,目前是没有任何药物能逆转肺大疱的,因此吃药是没有用的。
如果要对肺大疱进行治疗,那也只能手术治疗。
但是需要注意一点,大多数肺大疱是不需要治疗的。只有当肺大疱引发了气胸或者肺大疱破裂的风险比较大的时候,才有手术治疗的指征。
临床上最常见的肺大疱是
继发性肺大疱,这种类型的肺大疱病因是明确的,虽然我们无法逆转肺大疱,但是我们可以通过治疗原发病来达到肺大疱的发生率。
就拿慢性阻塞性肺疾病来说吧,得了这种疾病时间久了就容易出现肺大疱。当患者剧烈咳嗽、干重体力活等的时候,肺大疱就容易破裂而形成气胸。

检查
其实被查出肺大疱的人是比较多的,这除了和呼吸道疾病的增多有关,还和体检的普及有很大关系。
在过去,很多检查仪器都没有,很多人可能直到离开人世都不知道自己有肺大疱,毕竟很多肺大疱患者是没有什么明显的症状的。#健康明星计划#
3.肺大疱患者平时应该注意什么?
被查出肺大疱以后,一般医生都会评估其破裂的风险,如果风险比较小,一般不进行特殊处理。如果肺大疱的体积很大,超过了单侧胸腔的1/3,那这样的肺大疱就有手术的指征。

对于肺大疱患者来说,平时应该注意尽量避免肺大疱增大、防止肺大疱破裂。
如果有吸烟的习惯,一定要注意戒烟,否则容易引起肺大疱破裂。
吸烟本身会引起肺泡的炎症反应,这样的话就会引起气道的阻塞,造成气体进去容易、出去困难,肺泡内的气体就会增多,肺泡就容易破裂。

剧烈运动
如果有肺部疾病,那就要积极治疗这些疾病。
日常生活中应该注意避免剧烈运动和剧烈的咳嗽。尽量不要用力吸气后摒气,不要提拉重物、用力排便、吹气球、跳水等。
另外,不建议肺大疱患者去海拔高的地方。这个主要是因为海拔高的地方相对来说氧气缺乏,而肺大疱患者和正常人相比,他们的肺功能是下降的,可能会引起不舒服的症状。与此同时,海拔高的地方气压变化大,容易引起肺泡破裂。

打喷嚏
然而,并不是说我们注意这些细节,肺大疱就一定不会破裂的。
有时候我们可能仅仅打个喷嚏、伸个懒腰、唱一首歌,肺大疱就破裂了。
对于那些被查出有肺大疱的患者来说,如果突然出现了明显的胸痛、胸闷、呼吸困难等的时候,一定要尽快去医院接受治疗,否则可能因为耽误病情而存在生命危险。


























