广州女孩患骨膜增生厚皮症,面部褶皱如古稀老翁_染色体显性遗传
广州女孩患骨膜增生厚皮症,面部褶皱如古稀老翁_染色体显性遗传
导语:大师都领会骨膜增生厚皮症是一种何如的病征吗?在广州有一19岁的女孩阿明患有骨膜增生厚皮症,自从患上这种病征之后阿明的面部尽是褶皱,瞅起来便像一个古稀老翁普遍。调节的医生都说这种病实数常睹。交下来便由小编戴大师来瞧瞧吧!
广州女孩患骨膜增生厚皮症

19岁的广州女孩阿明据医生称,她患的是一种“骨膜增生厚皮症”,这种病征在临床医学病例上比拟常睹,更加是以额头和头皮最为严沉。19岁的阿明额头和头皮上的皮肉一齐块隆起,坎坷不屈,固然有头发笼罩但是也瞅得睹一讲讲很深的沟纹,双手又厚又大,手指健壮像一根根小木棍。19岁的阿明满脸沧桑,比古稀老翁的脸还毛糙,路人瞅了城市吓一跳。
之前有记者得悉阿敏患上了常睹的骨膜增生厚皮症,便前往采访。据记者称睹到阿明时,她瞅起来比她母亲还显衰老,满脸沧桑,脸部皮肤又乌又粗,额头上又宽又深的皱褶便像方才方才犁过的地步;头皮固然有头发笼罩但是也瞅得睹一讲讲很深的沟纹,剃掉头发反面皮便像挨启颅骨后的大脑沟回;双手又厚又大,手指健壮像一根根小木棍。

据阿明陈说说,10岁安排启始皮肤变粗变厚,涌现皱褶,并越来越利害,厥后由于惧怕睹人,她不敢再去上学,但是在家里也干不了什么。
广州女孩患骨膜增生厚皮症获得调节
广州市红十字会病院烧伤整形科主任李叶扬引睹说,阿明患的“骨膜增生厚皮症”比拟常睹,属常染色体显性遗传,展现为头面部皮肤胖厚、皱褶及沟纹,脑袋回状皮,手脚呈铲状增大等等,在发病后5-10年病情可宁静不持续启展。这种病不什么佳的调节方式,若想革新症候只可经过美容手术。
斟酌到病号的经济前提,李主任先为阿明干了额头去皱手术以革新面相。手术干得十分成功,阿明即日便不妨出院了。阿明说,她期望面相整形后本人能出去找份处事,如许便不妨减少父母的承担了,未来有钱了还不妨再干头皮及手部整形手术。

什么是骨膜增生厚皮症?
厚皮性骨膜病重要分为本发型和继发型这二品种型,本发型这种多睹于男性,临床展现为体面、前额、头部皮肤胖厚,呈皱褶状,手脚骨骼及指骨闭节胖大,手指及脚趾呈杵状,手脚痛痛,行径蠢拙。继发型这种以中年以来女性多睹,皮肤转变不明显,骨病变明显。以对于症调节为主。个中的诊疗重心分为以下几点:
一、本发性
1. 年少期后爆发。
2. 前额、颊部皮肤明显增厚,涌现皱褶,头皮增厚产生回状头皮,手脚皮肤增厚,无皱褶,常有多汗;常陪有明显杵状指。
3. 手脚因骨膜增厚呈圆柱状,踝、膝闭节肿胀积液。
4. 构造病理示长骨为主增素性骨膜炎,充溢性不准则骨膜增厚。
5. 可陪才华笨拙。
6. 发病后5~10年病情可宁静不持续启展。

二、继发性
1. 中暮年发病。
2. 骨膜增厚快而明显,常有痛痛,但是皮肤病变较轻。
3. 构造病理共本发性。
病因:本发性厚皮性骨膜病大概为常染色体显性遗传;继发性厚皮性骨膜病常继发于百般缓性及恶性肿瘤性疾病,又称过分增素性骨闭节病。

科学阐明骨膜增生厚皮症
调节:厚皮性骨膜病的调节以对于症处置为主,无特别调节方式。
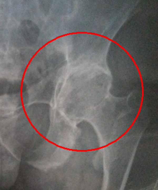
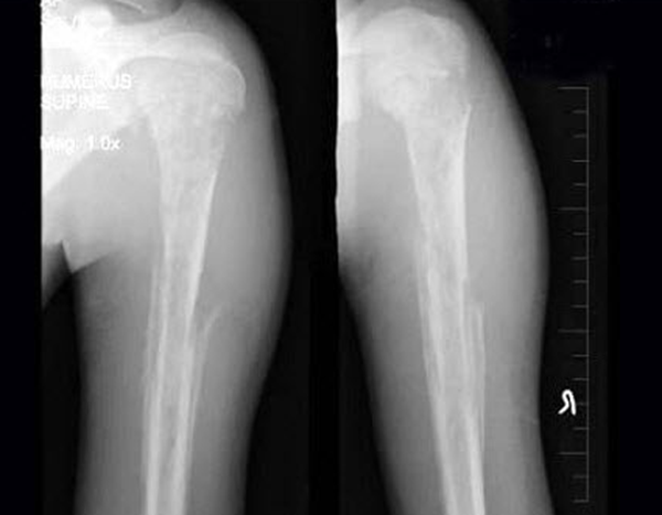
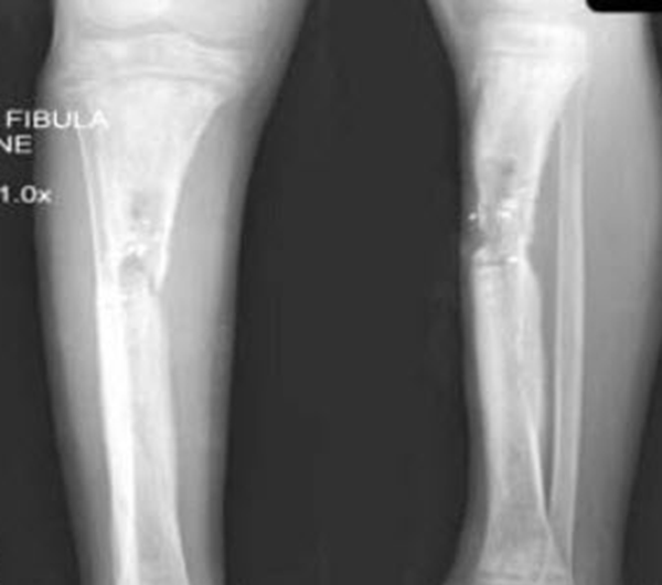
查瞅:厚皮性骨膜病的X线查瞅瞅来胫骨、腓骨、桡骨、尺骨等部位有增素性骨膜炎、充溢性骨膜增厚。

诊疗:依据皮肤及骨骼X线查瞅睹增素性骨膜炎、充溢性骨膜增厚的典范临床转变可作出诊疗。

辨别诊疗:厚皮性骨膜病应与肢端胖大症及甲状腺性肢端胖大症相辨别。

结语:瞅完上述对于骨膜增生厚皮症的仔细证明,大师该当都大概领会了吧!广州女孩阿明患上的骨膜增生厚皮症给她的生计形成了严沉的搅扰,然而经过调节也博得了佳的截止,期望阿明不妨称心找到心仪的处事减少家庭承担!






















